


En nuestro Centro Radiológico Dental, fusionamos diagnóstico de vanguardia con un cuidado humano excepcional. Nos dedicamos a tu salud con tecnología de precisión y un equipo que te acompaña en cada paso.
Equipos de última generación para diagnósticos de precisión milimétrica.
Personal altamente capacitado, con formación continua y dedicación.
Servicio cálido, confiable y centrado en tu bienestar y comodidad.
Odontología General - 8 años
Universidad de Costa Rica
Especialista en Imagenología Oral y Máxilo Facial
Universidad de Talca, Chile
Te atenderemos por WhatsApp para tu comodidad.
En Odontokinética, respondemos a tus necesidades con tecnología de vanguardia y atención personalizada para diagnósticos precisos.
¿Necesitas imágenes tridimensionales precisas? Nuestras tomografías 3D te brindan diagnósticos milimétricos para planificación de tratamientos.
¿Buscas análisis biomecánicos avanzados? Nuestros estudios Orthokinética 2D te ofrecen evaluaciones detalladas para tratamientos personalizados.
¿Planeas un tratamiento de ortodoncia? Nuestros análisis ortodónticos 2D incluyen cefalometrías, modelos digitales y fotografías estandarizadas.
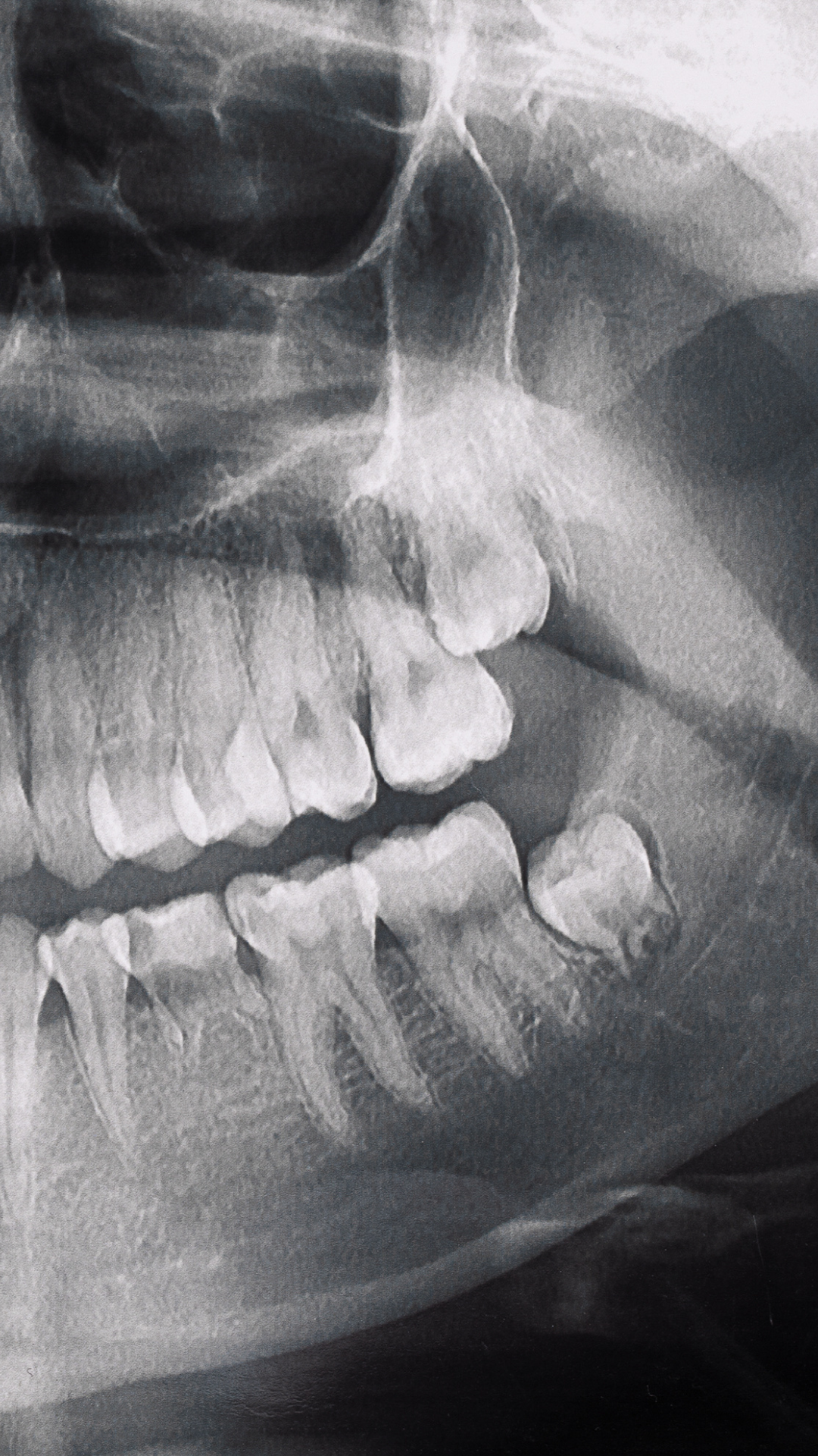
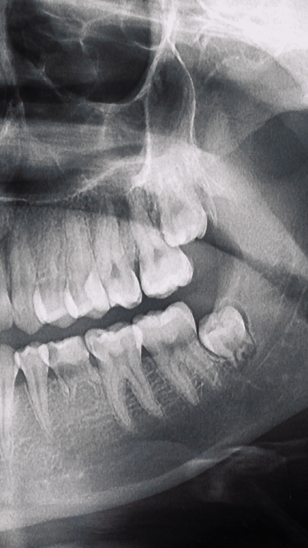
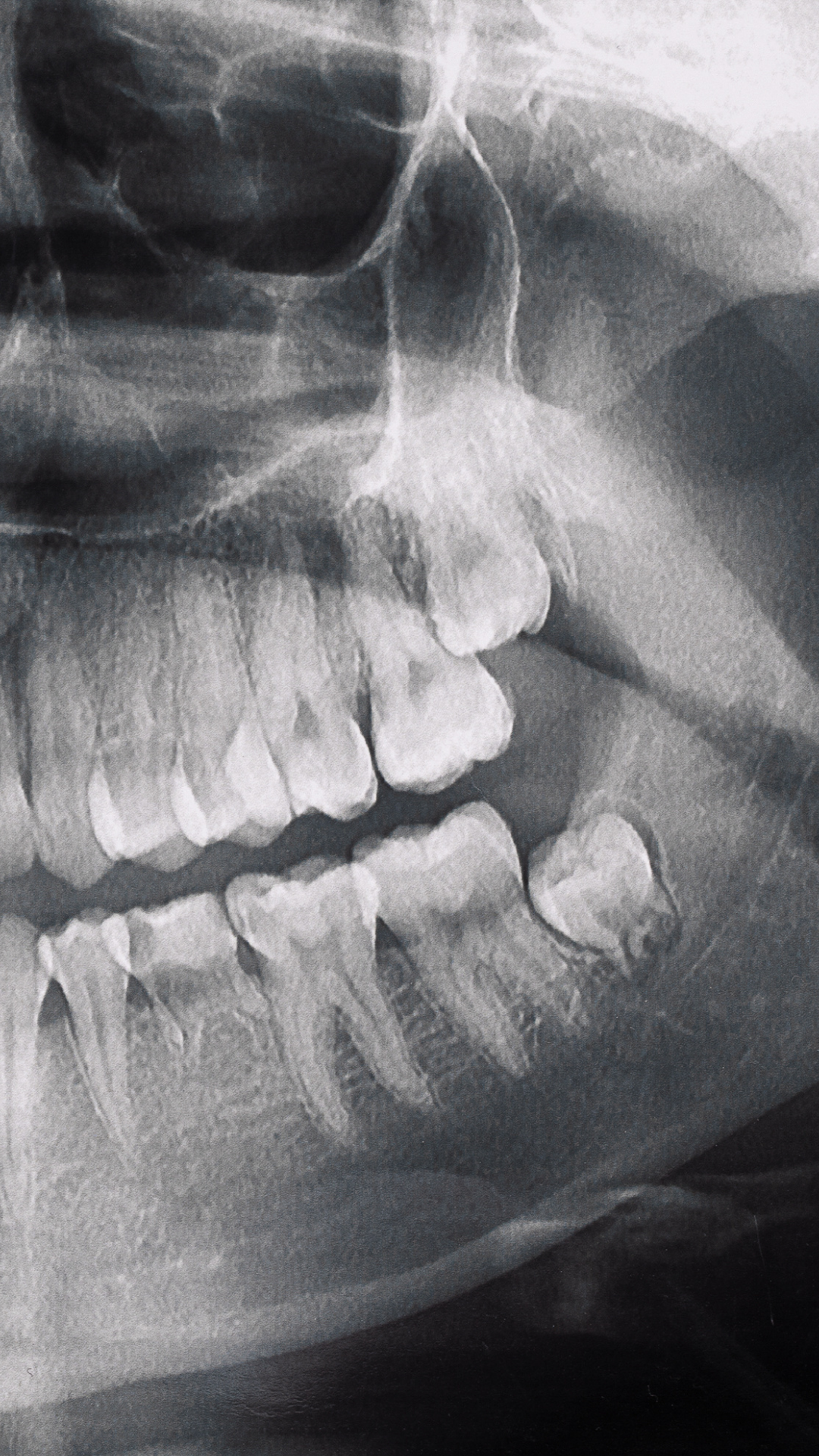
¿Necesitas estudios adicionales? Ofrecemos radiografías especializadas, reportes detallados y análisis de ATM para diagnósticos completos.
Un recorrido por nuestra tecnología, instalaciones y el equipo humano que hace la diferencia.