Diagnósticos milimétricos, mínima radiación y resultados inmediatos. Supervisado por especialistas en Radiología Oral y Maxilofacial en Curridabat.
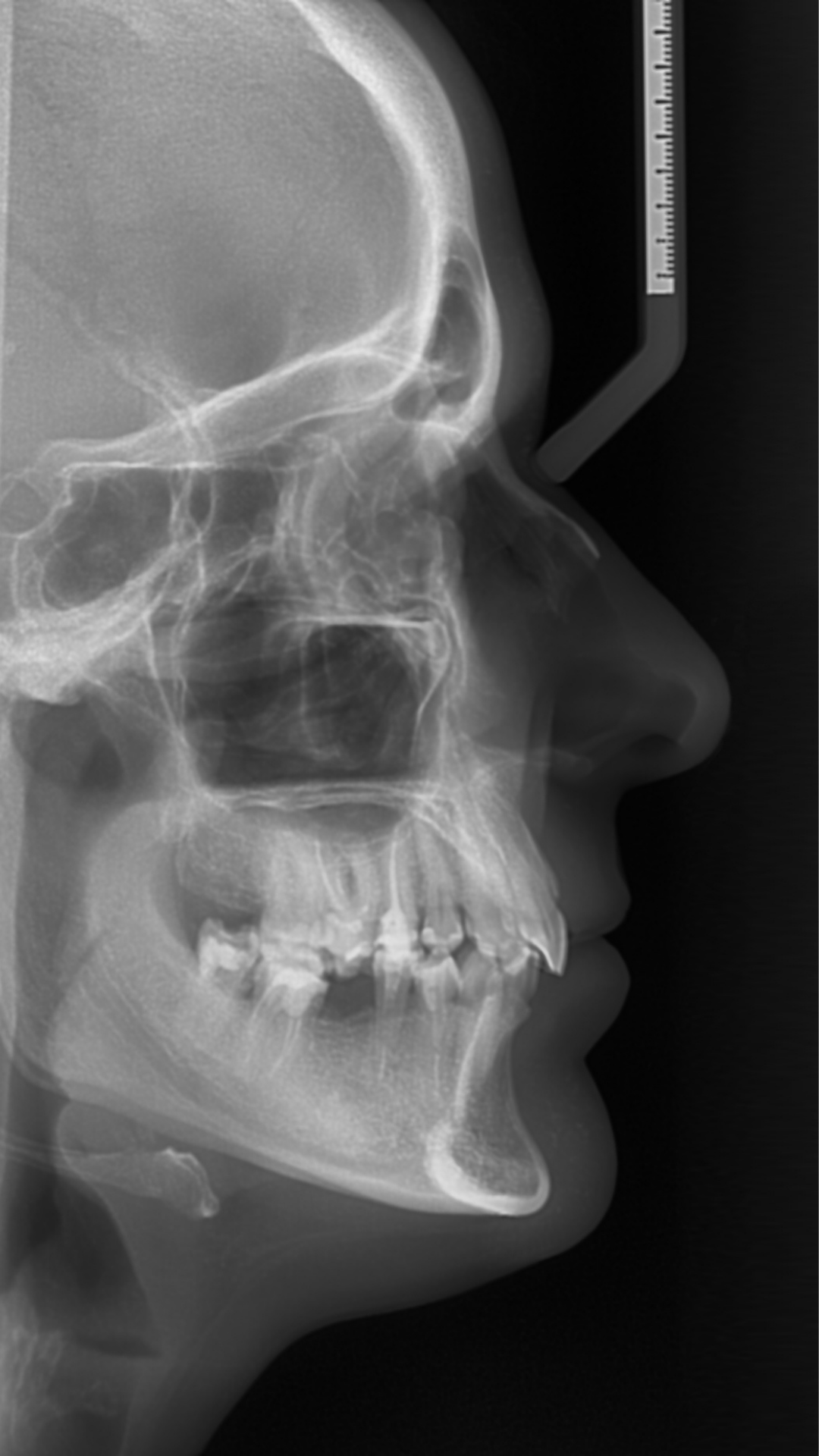
Olvídese de las radiografías planas. Nuestra tecnología 3D genera una réplica digital tridimensional de su boca en segundos. A diferencia de los equipos médicos generales, nuestro sistema está diseñado exclusivamente para odontología.
Sin distorsión ni magnificación (Vóxel Isotrópico). Medidas reales 1:1 para cirugías seguras.
Hasta un 90% menos radiación que un TAC médico convencional gracias a nuestra tecnología pulsada.
Equipo abierto, sin sensación de encierro. El escaneo es rápido y no invasivo.
Cubrimos todas las necesidades diagnósticas con la mejor calidad de imagen del mercado.
Ortodoncia, Cirugía Maxilofacial y diagnóstico integral.
Visualice ambas arcadas, senos maxilares y articulaciones en una sola toma de alta resolución.
Implantes dentales múltiples y rehabilitación oral.
Evaluación precisa de volumen y densidad ósea para la colocación segura de implantes en ambos maxilares.
Implantes superiores, caninos retenidos y elevación de seno.
Localización exacta de dientes impactados en el paladar y evaluación detallada del hueso maxilar.
Extracción de cordales e implantes inferiores.
Mapeo del Nervio Alveolar Inferior para evitar daños y parestesia durante la cirugía.
Endodoncia y fracturas radiculares.
Máxima nitidez (vóxel ultra-pequeño) focalizada en 3-4 dientes. La opción con menor radiación.
Dolor de mandíbula, chasquidos o trabas.
Tomas en boca abierta y cerrada para ver el desgaste óseo sin superposiciones.
Ortodoncia en niños y adolescentes.
Determinación de la edad biológica (crecimiento) sin necesidad de radiografías extra de la mano.

En Odontokinética, la tecnología es solo la herramienta; el criterio experto es lo que define su diagnóstico. Cada estudio es validado y supervisado por nuestro equipo de Radiólogos y Técnicos Especializados en Imagenología Oral.
Dosis ajustada milimétricamente al tamaño del niño, siguiendo los estándares internacionales "Image Gently"Radiación mínima y segura para niños.
No solo entregamos imágenes; ofrecemos reportes detallados que facilitan la planificación de su tratamiento.
Archivos DICOM nativos 100% compatibles con Exocad y los principales softwares de planificación 3D.
Equipos calibrados regularmente para asegurar la máxima fidelidad geométrica y consistencia en cada toma.